| 一、弥漫性毛细血管内增生性肾小球肾炎 | 《病理学》 | 
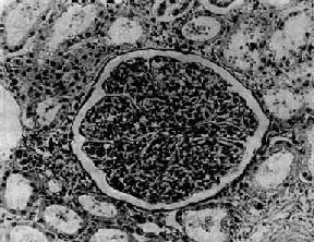
一、弥漫性毛细血管内增生性肾小球肾炎弥漫性毛细血管内增生性肾小球肾炎(diffuse endocapillary proliferative glomerulonephritis)病变为弥漫性,两侧肾几乎全部肾小球皆受累。这种肾炎常发生于感染以后,故有感染后肾小球肾炎之称。最常见的为A组乙型溶血性链球菌感染,其中以12型、4型、1型及49型与肾炎的关系最为密切。一般发生在链球菌感染后1~3周,是链球菌感染引起的变态反应性疾病,称为链球菌感染后肾炎。除链球菌外,其他细菌如葡萄球菌、肺炎球菌和某些病毒及寄生虫等也可引起这种类型的肾炎。这种肾炎多见于儿童,成人也可发生,但病变往往比儿童严重。一般发病较急,临床主要表现为急性肾炎综合征。 【病理变化】 病变为弥漫性,两侧肾同时受累。病变进展较快,主要变化为肾小球内细胞增生。早期,肾小球毛细血管充血,内皮细胞和系膜细胞肿胀增生并有少量中性粒细胞浸润。毛细血管通透性增加,血浆蛋白质可以滤过而进入肾球囊。因此,病人的尿液中常有蛋白、红细胞及白细胞。轻型病人,病变可不再发展,以后逐渐痊愈;比较严重的病例,病变继续发展,肾小球内细胞增生加重。增生的细胞主要为系膜细胞和内皮细胞。增生细胞压迫毛细血管,使毛细血管腔狭窄甚至闭塞,肾小球呈缺血状(图12-7)。此外,肾小球内有多数炎性细胞浸润,主要为中性粒细胞,有时并有少数嗜酸性粒细胞、单核细胞、红细胞、浆液和纤维素性渗出液。镜下,肾小球内细胞数量增多,肾小球体积增大。病变严重时,毛细血管腔内可有血栓形成,毛细血管壁可发生纤维素样坏死。坏死的毛细血管袢破裂出血,大量红细胞进入肾球囊及肾小管腔内,可以引起明显的血尿。不同的病例病变表现形式可能不同。有的以渗出为主,称为急性渗出性肾小球肾炎。有些病变严重,肾小球毛细血管袢坏死,有大量出血者称为出血性肾小球肾炎。 
 图12-7 弥漫性毛细血管内增生性肾小球肾炎 肾小球内细胞数量增多,系膜细胞和内皮细胞增生并有少量中性白细胞浸润,毛血管腔狭窄 上皮细胞一般无明显增生,少数严重的病例肾小球的壁层和脏层上皮细胞可增生,形成新月体。这种病变容易引起肾小球纤维化。如数量少,对功能影响不大。如病变广泛,可发展为新月体性肾炎。 在电子显微镜下可见肾小球系膜细胞和内皮细胞增生肿胀。基底膜和脏层上皮细胞间有致密物质沉积。这些沉积物大小不等,有的很大,在基底膜表面呈驼峰状或小丘状(图12-8,图12-9)。沉积物表面的上皮细胞足突多消失。基底膜变化不明显有时边缘稍不规则。沉积物一般在发病后几天就可出现,在4~6周内消失。有时基底膜内侧内皮细胞下和系膜内也可见小型沉积物。 
 图12-8 毛细血管内增生性肾小球肾炎 电镜下见肾小球毛细血管基底膜表面上皮细胞下有多数驼峰状电子致密沉积物 
 图12-9 毛细血管内增生性肾小球肾炎 电镜下见驼峰状沉积物位于毛细血管基底膜表面。沉积物表面有上皮细胞覆盖,上皮细胞足突消失 免疫荧光法检查显示,在肾小球毛细血管壁表面有免疫球蛋白和补体沉积(主要为IgG和C3),呈颗粒状荧光。系膜内也可有类似沉积物。 肾小球的病变可引起相应的肾小管缺血,肾小管上皮细胞常有浊肿、玻璃样变和脂肪变等。管腔内含有从肾小球滤过的蛋白、红细胞、白细胞和脱落上皮细胞。这些物质在肾小管内凝集,形成各种管型,如蛋白管型、透明管型、细胞管型(如红细胞、白细胞或上皮细胞管型)、颗粒管型。 肾间质内常有不同程度的充血、水肿和少量淋巴细胞、中性粒细胞浸润。 肉眼观,早期变化不明显。以后肾轻度或中度肿大、充血、包膜紧张、表面光滑、色较红,故称大红肾。若肾小球毛细血管破裂出血,肾表面及切面可见散在的小出血点如蚤咬状,称蚤咬肾。切面可见皮质由于炎性水肿而增宽,条纹模糊与髓质分界明显。 【临床病理联系】 这种肾炎的主要临床症状为尿的变化,水肿和高血压。 1.尿的变化由于肾小球毛细血管损伤,通透性增加,故常有血尿、蛋白尿、管型尿等。 (1)血尿:血尿常可反映肾小球毛细血管损伤的情况。轻度血尿需用显微镜才能发现。严重的血尿,肉眼可见尿呈鲜红色。有时尿中红细胞溶解,血红蛋白在酸性尿中转变成酸性血红素,使尿呈棕红色。 (2)蛋白尿:蛋白尿的程度不同,一般不很严重,但少数病人尿中可有大量蛋白质。 (3)管型尿:在肾小管内凝集形成的管型随尿液排出,尿液内可出现各种管型,称为管型尿。 (4)少尿:由于肾小球细胞增生肿胀,压迫毛细血管,致管腔狭小,肾血流受阻,肾小球滤过率降低,而肾小管再吸收无明显障碍,可引起少尿,致水钠在体内潴留。严重者并可有含氮代谢产物潴留,引起氮质血症。 2.水肿病人常有轻度或中度水肿,往往首先出现在级织疏松的部位如眼睑。水肿的原因主要是由于肾小球滤过减少,而肾小管再吸收功能相对正常,引起水钠潴留。此外,也可能与变态反应所引起的全身毛细血管痉挛和通透性增加有关。 3.高血压病人常有轻至中度高血压。过去认为这种肾炎时的高血压与肾小球毛细血管阻塞,肾组织缺血引起肾素分泌增加有关。但病人血中肾素浓度多在正常范围之内。因此高血压的主要原因可能与水钠潴留引起的血量增加有关。严重的高血压可导致心力衰竭及高血压性脑病。 【结局】 这种肾炎的预后与年龄和病因有一定关系。儿童链球菌感染后肾小球肾炎的预后很好,95%以上可在数周或数月内症状消失,病变消退,完全恢复。少数病人病变消退较慢,肾小球系膜增生,可持续数月甚至1~2年。临床上,病人常有迁延性蛋白尿和复发性血尿。有时无明显症状,成为隐匿性肾炎。这种病变大多以后仍可消退,恢复正常。少数病人(约占1%~2%)临床症状消失,但病变持续不退,以后症状可反复,逐渐发展为慢性硬化性肾小球肾炎。极少数病人病变严重,发展较快,同时有明显的肾球囊上皮细胞增生,形成大量新月体,可发展为新月体性肾小球肾炎。这些病人常迅速发生急性肾功能衰竭,预后差。还有极少数(<1%)病人病变严重,发展迅速,在短期内发生肾功能衰竭、心力衰竭或高血压性脑病。 一般成人患感染后肾小球肾炎者预后较差,发生肾功能衰竭和转变为慢性肾炎者较多。此外,由其他感染引起的肾炎转变为慢性肾小球肾炎者,比链球菌感染后肾炎转为慢性者多见,预后也较差。 
  | 
返回目录  |